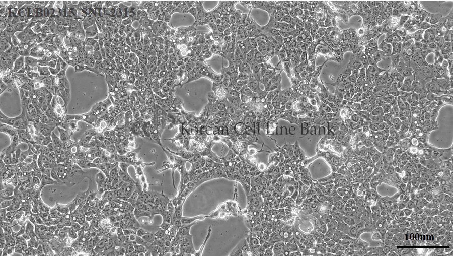
SNU-2315
| KCLB NO |
02315
|
|---|---|
| Name |
SNU-2315
|
세포주 분양조건
서비스
수량
-
+
| Origin |
lung cancer
|
|---|---|
| Species |
human, asian male, 41 years old
|
| Cellular morphology |
epithelial
|
| Growth Pattern |
monolayer
|
| Histopathology |
adenocarcinoma
|
| Depositor |
Jae-Gahb Park, M.D.
|
| Option |
culture only
|
| D3S1358 |
17
|
|---|---|
| vWA |
17
|
| FGA |
23,15
|
| Amelogenin |
X,Y
|
| TPOX |
11
|
| CSF1P0 |
10
|
| D5S818 |
10,13
|
| D13S317 |
9
|
| D7S820 |
10,11
|
준비중입니다.
| freeze media |
RPMI1640, 52.5%; FBS, 40%; DMSO, 7.5%
|
|---|---|
| original medium |
RPMI1640 with L-glutamine (300mg/L), 25mM HEPES and 25mM NaHCO3, 90%; heat inactivated fetal bovine serum (FBS), 10%
|
| kclb media |
RPMI1640 with L-glutamine (300mg/L), 25mM HEPES and 25mM NaHCO3, 90%; heat inactivated fetal bovine serum (FBS), 10%
|
| subculturing |
Remove medium, add fresh 0.25 % trypsin 0.02 % EDTA solution, stand culture flask at 37
|
| populaton doubling time |
141 hours
|
| splitratio |
1:4
|
|
Cellular Onc., 34:45-54, 2011
|
|---|
