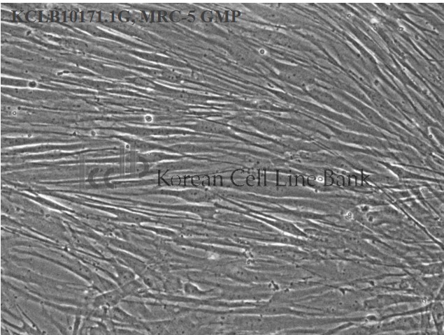
MRC-5 GMP
| KCLB NO |
10171.1G
|
|---|---|
| Name |
MRC-5 GMP
|
세포주 분양조건
- 무항생제 배양
서비스
수량
-
+
| Origin |
lung
|
|---|---|
| Species |
human male, fetus, 14 weeks old, Caucasian
|
| VirusSusceptibility |
poliovirus 1; herpes simples; vesicular stomatitis (Indiana)
|
| Reverse Transcriptase |
negative
|
| Isoenzyme |
G6PD, B
|
| Cellular morphology |
fibroblast
|
| Histocompatibility |
H-2d
|
| Growth Pattern |
monolayer
|
| Histopathology |
normal
|
| Option |
No Antibiotics
|
| D3S1358 |
15,17
|
|---|---|
| vWA |
15
|
| FGA |
21,23
|
| Amelogenin |
X,Y
|
| TH01 |
8
|
| TPOX |
8
|
| CSF1P0 |
11,12
|
| D5S818 |
11,12
|
| D13S317 |
11,14
|
| D7S820 |
10,11
|
준비중입니다.
| freeze media |
RPMI1640, 52.5%; FBS, 40%; DMSO, 7.5%
|
|---|---|
| original medium |
Basal medium(Eagle) in Hanks
|
| kclb media |
Minimum essential medium, 25mM HEPES and 25mM NaHCO3, 90%; heat inactivated fetal bovine serum (FBS), 10%
|
| note |
release form required; cells are capable of 42 to 46 population doublings before the onset of senescence, No antibiotics were added to culture media (No penicillin and streptomycin)
|
|
Nature, 227: 168-170, 1970
|
|---|
