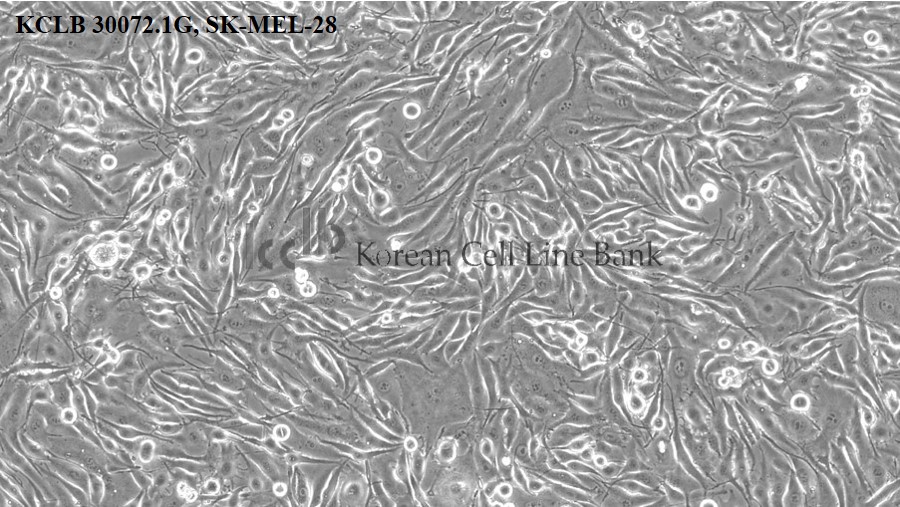
SK-MEL-28
| KCLB NO |
30072.1G
|
|---|---|
| Name |
SK-MEL-28
|
세포주 분양조건
- 무항생제 배양
서비스
수량
-
+
| Origin |
skin; malignant melanoma
|
|---|---|
| Species |
human
|
| Cellular morphology |
polygonal
|
| Growth Pattern |
adherent
|
| Option |
No Antibiotics
|
준비중입니다.
| freeze media |
RPMI1640, 52.5%; FBS, 40%; DMSO, 7.5%
|
|---|---|
| original medium |
Minimum Essential Medium(Eagle); fetal bovine serum (FBS), 10%
|
| kclb media |
Minimum Essential Medium(Eagle); fetal bovine serum (FBS), 10%
|
