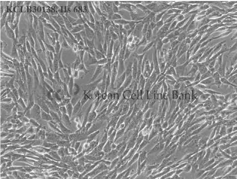
Hs 683
| KCLB NO |
30138
|
|---|---|
| Name |
Hs 683
|
세포주 분양조건
서비스
수량
-
+
| Origin |
brain
|
|---|---|
| Species |
human male, 76 years old, Caucasian
|
| Tumorigenecity |
no
|
| Isoenzyme |
G6PD, B; PGM1, 1; PGM3, 1-2; ES-D, 1; Me-2, 2; AK-1, 1; GLO-1, 2
|
| Karyology |
(P15) hypotetraploid with mode=88; range=44 to 97; Y chromosomes present
|
| Cellular morphology |
fibroblast
|
| Growth Pattern |
monolayer
|
| Histopathology |
glioma
|
| D3S1358 |
14,16
|
|---|---|
| vWA |
18,20
|
| FGA |
21.2,22
|
| Amelogenin |
X,Y
|
| TH01 |
6,8
|
| TPOX |
8,11
|
| CSF1P0 |
9,13
|
| D5S818 |
11,12
|
| D13S317 |
8,12
|
| D7S820 |
11
|
준비중입니다.
| freeze media |
RPMI1640, 52.5%; FBS, 40%; DMSO, 7.5%
|
|---|---|
| original medium |
RPMI1640 with L-glutamine (300mg/L), 25mM HEPES and 25mM NaHCO3, 90%; heat inactivated fetal bovine serum (FBS), 10%
|
| kclb media |
RPMI1640 with L-glutamine (300mg/L), 25mM HEPES and 25mM NaHCO3, 90%; heat inactivated fetal bovine serum (FBS), 10%
|
| note |
Hs 683 was isolated from explant cultures of a glioma taken from the left temporal lobe of a 76 year old male caucasian. Microvilli but no desmosomes were observed
|
|
J Nat
|
|---|
