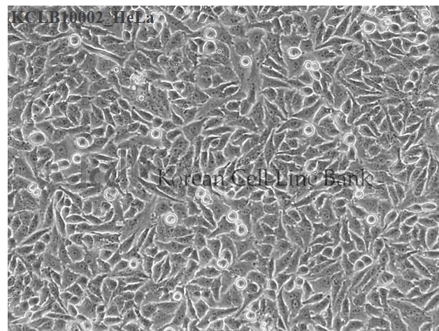
HeLa
| KCLB NO |
10002
|
|---|---|
| Name |
HeLa
|
세포주 분양조건
서비스
수량
-
+
| Origin |
cervix, uterine
|
|---|---|
| Species |
human female, 31 years old; Black
|
| VirusSusceptibility |
poliovirus 1,2,3; adenovirus 3, encephalomyocarditis; coxsachievirus B serotypes
|
| Reverse Transcriptase |
negative
|
| Isoenzyme |
G6PD, A
|
| Cellular morphology |
epithelial
|
| Production |
keratin
|
| Growth Pattern |
monolayer
|
| Histopathology |
adenocarcinoma
|
| D3S1358 |
15,18
|
|---|---|
| vWA |
16,18
|
| FGA |
18,21
|
| Amelogenin |
X
|
| TH01 |
7
|
| TPOX |
8,12
|
| CSF1P0 |
9,10
|
| D5S818 |
11,12
|
| D13S317 |
12,13.3
|
| D7S820 |
8,12
|
준비중입니다.
| freeze media |
RPMI1640, 52.5%; FBS, 40%; DMSO, 7.5%
|
|---|---|
| original medium |
Eagle
|
| kclb media |
Minimum Essential Medium, 90%, heat inactivated fetal bovine serum (FBS), 10%
|
| note |
the cells are positive for keratin by immunoperoxidase staining
|
|
Cancer Res. 12:264, 1952; Cytonent Cell Genet, 48:19-24, 1988
|
|---|
