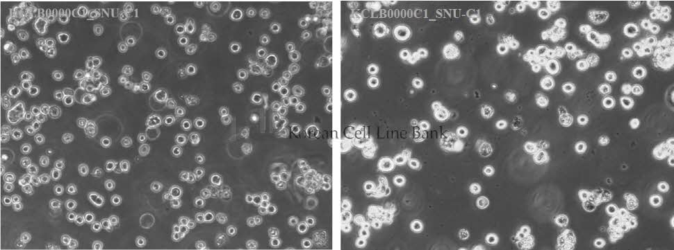
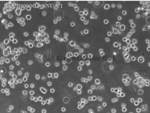
SNU-C1
| KCLB NO |
0000C1
|
|---|---|
| Name |
SNU-C1
|
세포주 분양조건
서비스
수량
-
+
| Origin |
colon; colorectal
|
|---|---|
| Species |
human, asian male, 71 years old
|
| Cellular morphology |
lymphoblast-like
|
| Growth Pattern |
suspension
|
| Histopathology |
adenocarcinoma
|
| Differentiation |
moderately differentiated
|
| Depositor |
Jae-Gahb Park, M.D.
|
| DateOfUpdated |
2014-09-11
|
| D3S1358 |
17
|
|---|---|
| vWA |
16,18
|
| FGA |
24
|
| TH01 |
7,9
|
| TPOX |
11,12
|
| CSF1P0 |
12
|
| D5S818 |
10
|
| D13S317 |
9,11
|
| D7S820 |
10,11
|
준비중입니다.
| freeze media |
RPMI1640, 52.5%; FBS, 40%; DMSO, 7.5%
|
|---|---|
| original medium |
RPMI1640 with L-glutamine (300mg/L), 25mM HEPES and 25mM NaHCO3, 90%; heat inactivated fetal bovine serum (FBS), 10%
|
| kclb media |
RPMI1640 with L-glutamine (300mg/L), 25mM HEPES and 25mM NaHCO3, 90%; heat inactivated fetal bovine serum (FBS), 10%
|
| subculturing |
Remove medium, add fresh 0.25 % trypsin 0.02 % EDTA solution, stand culture flask at 37
|
| note |
Penicillin-streptomycin were added to culture media (final concentration, 100 U/mL)
|
| populaton doubling time |
27 hours
|
| splitratio |
1:4
|
| media change |
Remove two thirds of medium and add fresh medium (depending on cell density) every 2 to 3 days
|
|
Cancer Res, 47: 6710-6718, 1987
|
|
|---|---|
|
