L-M
| KCLB NO |
10001.2
|
|---|---|
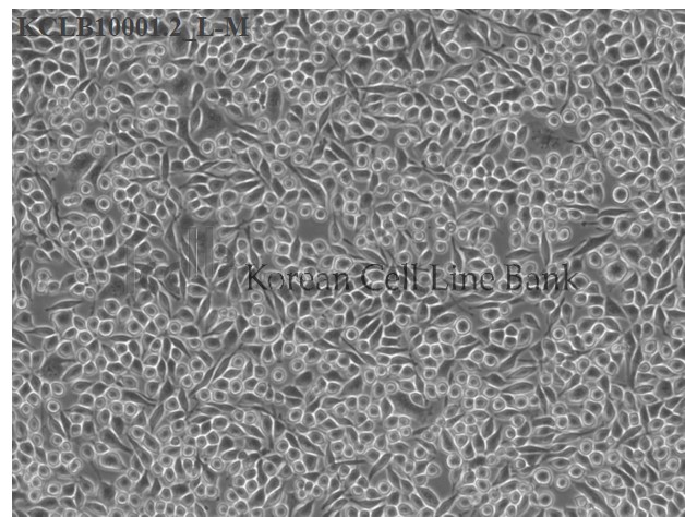
| Name |
L-M
|
세포주 분양조건
서비스
수량
-
+
| Origin |
connective tissue; subcutaneous; areolar and adipose
|
|---|---|
| Species |
mouse male, 100 days old; Mus musculus
|
| Strain |
C3H/An
|
| Virus Resistance |
poliovirus 1,2,3
|
| Reverse Transcriptase |
positive
|
| Cellular morphology |
fibroblast
|
| Histocompatibility |
H-2k
|
| Growth Pattern |
monolayer
|
| Histopathology |
normal
|
준비중입니다.
| freeze media |
RPMI1640, 52.5%; FBS, 40%; DMSO, 7.5%
|
|---|---|
| original medium |
Medium 199 with 0.5% Bacto-peptone
|
| kclb media |
RPMI1640 with L-glutamine (300mg/L), 25mM HEPES and 25mM NaHCO3, 90%; heat inactivated fetal bovine serum (FBS), 10%
|
| note |
it grows in protein-free medium; tested and found negative for ectromelia virus (mousepox)
|
|
Proc Soc Exp Biol Med, 92:803, 1956; Exp. Cell Res. 17:490, 1959
|
|---|
