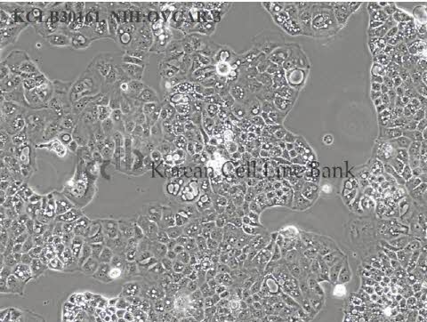
NIH:OVCAR-3
| KCLB NO |
30161
|
|---|---|
| Name |
NIH:OVCAR-3
|
세포주 분양조건
서비스
수량
-
+
| Origin |
ovary
|
|---|---|
| Species |
human female, 60 years, Caucasian
|
| Isoenzyme |
G6PD, B; PGM1, 1; PGM3, 1; ES D, 1; AK1, 1; GLO-1,1
|
| Cellular morphology |
epithelial
|
| Growth Pattern |
monolayer
|
| Histopathology |
adenocarcinoma
|
| D3S1358 |
17,18
|
|---|---|
| vWA |
17
|
| FGA |
21
|
| Amelogenin |
X
|
| TH01 |
9,9.3
|
| TPOX |
8
|
| CSF1P0 |
11,12
|
| D5S818 |
11,12
|
| D13S317 |
12
|
| D7S820 |
10
|
준비중입니다.
| freeze media |
RPMI1640, 52.5%; FBS, 40%; DMSO, 7.5%
|
|---|---|
| original medium |
RPMI 1640 with 10ug/ml insulin, 80%; heat inactivated fetal bovine serum (FBS), 20%
|
| kclb media |
RPMI1640 with L-glutamine (300mg/L), 25mM HEPES and 25mM NaHCO3, 90%; heat inactivated fetal bovine serum (FBS), 10%
|
