RT4
| KCLB NO |
30002
|
|---|---|
| Name |
RT4
|
세포주 분양조건
서비스
수량
-
+
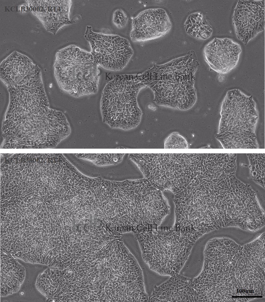
| Origin |
bladder
|
|---|---|
| Species |
human male, 63 years old, Caucasian
|
| Cellular morphology |
epithelial
|
| Growth Pattern |
monolayer
|
| Histopathology |
Transitional cell carcinoma
|
| D3S1358 |
15
|
|---|---|
| vWA |
14,17
|
| FGA |
22,24
|
| Amelogenin |
X,Y
|
| TH01 |
9,9.3
|
| TPOX |
8,11
|
| CSF1P0 |
10,12
|
| D5S818 |
11,12
|
| D13S317 |
8
|
| D7S820 |
9,12
|
준비중입니다.
| freeze media |
RPMI1640, 52.5%; FBS, 40%; DMSO, 7.5%
|
|---|---|
| original medium |
Dulbecco
|
| kclb media |
Dulbecco
|
| subculturing |
Remove medium, add fresh 0.25 % trypsin 0.02 % EDTA solution, stand culture flask at 37
|
| splitratio |
1:4
|
